How the Patient Found the Practice
Phil discovered our practice through his church community.
He had witnessed transformations in others and was encouraged by the Inspire Changes Foundation, as well as Dr. Hutton and Dr. Gable’s collaborative, digital approach to achieving aesthetic outcomes.
Initial Condition & Life Before Treatment
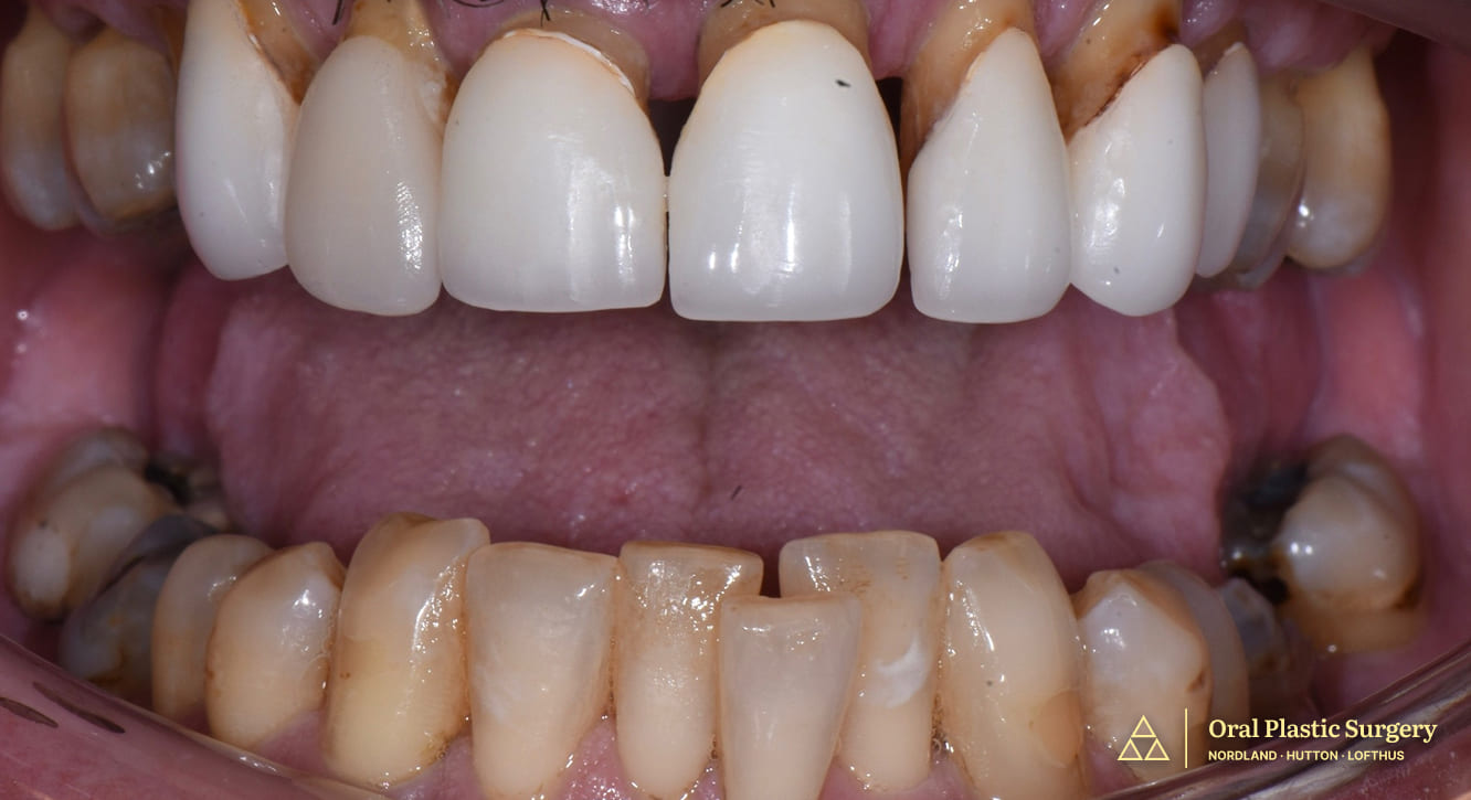
Phil had battled advanced periodontal disease and failing teeth for years.
His smile was unsightly, his teeth were loose, and chewing most foods was nearly impossible.
Chronic infections and pain were a constant burden.
As a national public advocate and speaker, Phil felt ashamed of his smile and knew he was living on borrowed time with his failing teeth.
Several dentists told him he would need years of multiple surgeries if he wanted a chance to restore his smile, a path he felt was overwhelming and unrealistic.

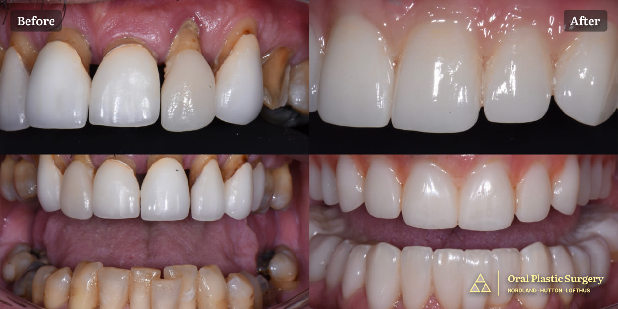
A full smile transformation: loose, painful teeth were removed and replaced with a stable, implant-supported restoration.
First Appointment & Discovery
During his consultation, Dr. Hutton clearly explained the causes and progression of periodontal disease, outlining all available treatment options.
He presented the risks and benefits of trying to save teeth one by one versus choosing a more definitive solution: the All-on-X approach with pterygoid implants.
Phil left his appointment feeling reassured by the clarity of the explanation and confident that a path to restoring his smile and lifestyle was within reach.
Misunderstandings or Clinical Oversights
A frequent oversight in cases like Phil’s is assuming implants can be placed safely while periodontal infection remains active.
Untreated periodontal disease is the number one risk factor for peri-implantitis, with patients facing up to a 40% higher risk of implant complications.
By addressing the disease first and carefully planning treatment, these risks were avoided.
Treatment Plan & Approach
The plan included:
- Digital Planning: Intraoral scanning, CBCT imaging, and comprehensive digital workflow.

Digital planning technology mapped out the precise placement of Phil’s seven implants, including two pterygoid implants for added stability.
- Team Collaboration: Partnership with Cyber Ceramics Laboratory (Orange County), nationally recognized for All-on-X prosthetics.
- Surgical Execution: Placement of seven implants, including two pterygoid implants in the posterior maxilla (base of the skull). This enabled full restoration of all 14 upper teeth, including molars.
This approach minimized cantilevers (overhangs), improved durability, and delivered the long-term stability and function Phil needed.
Case Progression & Key Milestones
Surgery Day: Diseased teeth were removed, bone was prepared, and seven implants were placed. Phil left the office the same day with a full provisional restoration and a confident new smile.

Before surgery: advanced periodontal disease and bone loss made saving the teeth impossible. Full-arch implant treatment was the best long-term solution.

Post-surgery X-ray shows all seven implants in place. The pterygoid implants provide secure anchorage in the upper jaw, allowing Phil to regain molars and full chewing strength.

The GuidedSMILE system ensured accuracy and efficiency during surgery. Custom guides and provisional teeth allowed Phil to leave with a new smile the very same day.
Recovery: Healing was smooth with minimal discomfort. He followed a modified diet for several weeks before resuming his everyday chewing habits.
Impressively, he returned to work the following week.
Final Prosthesis: After tissue healing, Cyber Ceramics fabricated natural-looking zirconia-porcelain teeth. They seated seamlessly and fit perfectly from the first day.

Phil’s new smile foundation: a custom-designed full arch prosthesis and underside with titanium framework, engineered for comfort, strength, and lasting peace of mind.

Surgical view: seven implants, including two pterygoid implants, were placed for maximum stability and function. Precise implant placement improved chewing strength and long-term durability.
Outcome
All seven implants, including the two pterygoids, achieved excellent stability. The full-arch restoration restored complete function with uneventful healing.
The zirconia-porcelain teeth displayed lifelike translucency and esthetics indistinguishable from natural dentition.
Phil regained complete confidence. He now speaks freely, smiles without hesitation, eats without restriction, and even returned to jiu-jitsu (with a protective mouth guard).
“I love my implants.” — Phil
Restore comfort, function, and confidence. Discover what’s possible with skilled, compassionate care.
Showing perfect diction just a minute after the new teeth were placed—no adjustments needed, a true testament to the precision of restorative and cyberceramics.


Clinical Notes for Referring Doctors
This case highlights the successful use of All-on-X with pterygoid implants for advanced periodontal disease and non-restorable dentition.
Immediate implant placement and provisionalization provided full function the same day.
The use of pterygoid implants allowed inclusion of molars in the final prosthesis, minimizing cantilevers and improving biomechanics.
Healing was uneventful, and final zirconia prosthetics provided excellent esthetic and functional results.