How the Patient Found the Practice
Ashley was referred to our office by her pediatric dentist, who wanted her to get relief from the gum sensitivity and irritation she had been experiencing.
Initial Condition & Life Before Treatment
Before coming to us, Ashley had completed orthodontic treatment to straighten her teeth. She already had some gum recession before braces, but the problem worsened afterwards. As a result of exposed tooth roots, she struggled with severe sensitivity in her lower front tooth.
Even daily brushing was uncomfortable, and dental cleanings became difficult. Due to the pain, plaque accumulated more easily, resulting in gum irritation and gingivitis.
First Appointment & Discovery
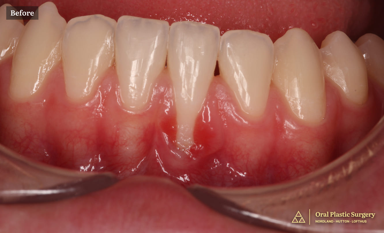
At her first visit, we observed that the gum tissue around her lower front tooth was thin and receded, exposing the root.
We also identified a tight frenum (the small muscle attaching the lower lip to the jawbone), which was pulling on the delicate gum tissue and contributing to the gum recession.
Misunderstandings or Clinical Oversights
In some orthodontic cases, gum recession and frenum tension are addressed before braces to minimize risk and prevent worsening during treatment.
While this proactive approach can be ideal, in Ashley’s situation, the decision was made to wait until orthodontic treatment was complete before proceeding with soft tissue repair.
Treatment Plan & Approach
We recommended a two-step plan:
- Laser Frenectomy – a quick laser procedure released the tight frenum.
- Microsurgical Gum Graft – after a short healing period, a delicate gum tissue transplant was performed using tissue from the roof of the mouth.
Both procedures were completed under IV conscious sedation for Ashley’s comfort, with the precision of a surgical microscope and microsurgical technique.
A customized palatal stent was created using a 3D scanner and printer to protect the donor site and provide comfort during the healing process.
Ashley also made minor modifications to her daily routine to ensure the graft would heal successfully.

Dr. Hutton performing minimally invasive microsurgery under high magnification to ensure precision and patient comfort.
Case Progression & Key Milestones
- The laser procedure was performed first and healed quickly.
- A few weeks later, the gum graft was placed on the sensitive tooth.
- Healing was smooth and comfortable, with Ashley experiencing only minimal discomfort.
Outcome
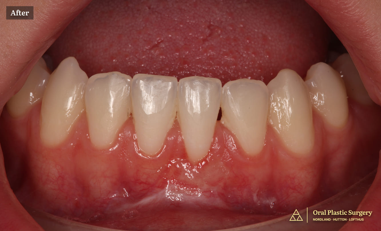
Ashley now has complete gum coverage on the exposed root of her lower front tooth. The grafted tissue is firmly attached, providing long-term protection and eliminating sensitivity.
Her gumline looks natural and blends seamlessly with the rest of her smile. There are no visible scars, and nobody can tell she ever had surgery.
Ashley is thrilled with her results. She shared that the entire process was far easier than she had expected and that she was grateful for how comfortable it was.
Her daily activities and routines were barely interrupted, and she now brushes and cleans her teeth without discomfort.
“It was better than I expected! I had almost no discomfort and was surprised at how easy it was.” — Ashley
Relief from painful sensitivity is closer than you think. Don’t let gum recession hold you back.

Before treatment: Gum recession left the root exposed, causing painful sensitivity and irritation.

After microsurgical grafting: Healthy gum tissue now covers the root, restoring protection and comfort.
Clinical Notes for Referring Doctors
A laser frenectomy was performed before grafting to address the high frenum attachment.
A connective tissue graft was then placed on tooth #24, achieving complete root coverage and resolving the patient’s sensitivity.
Healing was uneventful, with excellent functional and esthetic outcomes.